Año 2 • No. 86 • diciembre 9 de 2002
Xalapa • Veracruz • México
Publicación Semanal


 Páginas Centrales
 
 Información General

 
 Compromiso Social

 Arte Universitario

 Halcones al Vuelo

 Date Vuelo

 Internautas

 Contraportada


 Números Anteriores


 Créditos

 

La enfermedad de Fabry
José Alberto Campillo Balderas
(Facultad de Ciencias Biológicas y Agropecuarias, campus Peñuela)

El pasado 20 de noviembre se inauguró el XXVII Congreso Nacional de Genética Humana en el hotel Crowne Plaza del puerto de Veracruz. Se realizaron cuatro conferencias magistrales, seis simposios y 198 trabajos en cartel dedicados a la farmacogenómica, asesoramiento genético, enfermedades metabólicas, cáncer y terapia génica, así como problemas de índole social derivados de la genómica, como la clonación, Proyecto Genoma Humano, etcétera.

Entre las conferencias más llamativas se encontraba la relativa a la enfermedad de Fabry, a cargo del doctor Robert Desnick, profesor e investigador del Departamento de Genética Humana en la Escuela de Medicina Monte Sinai

en Nueva York, y quien actualmente se encuentra desarrollando un tratamiento para tal padecimiento.

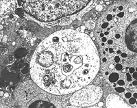
La enfermedad de Fabry es un mal hereditario metabólico recesivo ligado al cromosoma X, y en el cual los glicoesfingolípidos, particularmente la globotriaosilceramida (gb-3), se acumulan en los lisosomas de varias células, principalmente las del endotelio vascular, las musculares lisas de vasos sanguíneos y del epitelio. Todo este embrollo ocurre debido a la falta parcial o total de una proteína, una enzima llamada galactosidasa A (Gal A).

Esta enfermedad, de forma clásica, se presenta usualmente en la niñez, con dolor, fiebre, hipohidrosis, fatiga e intolerancia al ejercicio, pero desgraciadamente hay veces que pasa desapercibida hasta la edad adulta, cuando se complica la situación: disfunción renal y cardiovascular, riesgo de infarto cerebral precoz, hemiplejía, hemianestesia, accidentes isquémicos transitorios, obstrucción del flujo de aire en los pulmones, disnea, entre otras manifestaciones clínicas.
La esperanza promedio de vida de pacientes con esta enfermedad es de 41 años, si no reciben tratamiento por la uremia, y los hombres la desarrollan en una proporción de 1:40 mil, mientras que las mujeres con frecuencia son asintomáticas o presentan una enfermedad leve.

Pero, ¿cómo evitarla? El objetivo final para sobrellevar un tratamiento es desarrollar una terapia que disminuya o evite la acumulación del sustrato (GB-3).
Para ello se han realizado terapias de reemplazo enzimático, deprivación del sustrato y la terapia génica atacando directamente el defecto metabólico subyacente.

Así que genetistas, pediatras, nefrólogos, oftalmólogos, cardiólogos, neurólogos, reumatólogos, dermatólogos, gastroenterólogos y médicos generales, deben estar al pendiente de los síntomas clínicos para evitar esta enfermedad, y sobre todo estar intercomunicados para hacer que el paciente con la enfermedad de Fabry pueda vivir más tiempo y con una buena calidad de vida.

Comentarios: clon666@hotmail.com.