Año 2 • No. 68 • julio 1 de 2002 Xalapa • Veracruz • México
Publicación Semanal


 Páginas Centrales

 Información General


 
Date Vuelo

 
Compromiso Social

 
Arte Universitario

 
Inter Nautas

 
Halcones al Vuelo

 
Tus cartas

Observatorio
de la ciencia


 
Contraportada


 Números Anteriores


 Créditos

 
CESS, segundo lugar en concurso nacional
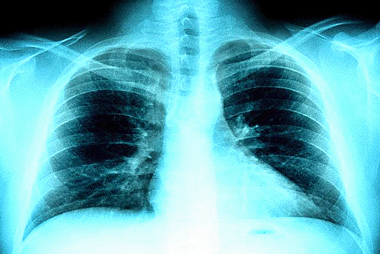
Estudiaron el flujo respiratorio y ganaron
Carolina Cruz
Veracruz, Ver.- El estudio “Comparación de flujo espiratorio máximo sentado y de pie en estudiantes universitarios”, realizado por los médicos Eduardo Lara Pérez, Enrique González Deschamps y Karina Lupercio Mora, del Centro de Estudios y Servicios en Salud (cess), obtuvo el segundo lugar en la I Jornada de Investigación Pediátrica del Sureste, celebrada a principios de junio pasado en la ciudad de Villahermosa, Tabasco.
De un total de 360 trabajos que se presentaron a concurso, y de 14 que fueron aceptados, la investigación realizada por el personal del cess se hizo acreedora a un segundo lugar debido a la importancia y originalidad del estudio llevado a cabo en estudiantes de la uv y porque existen pocos estudios de Flujo Espiratorio Máximo (fem) particularmente en lo que se refiere al comportamiento de acuerdo a la posición.
Cada vez que respiramos entra determinada cantidad de aire a nuestros pulmones y el flujo respiratorio es la capacidad de expulsar el aire que se encuentra en la cavidad pulmonar. La
investigación se propuso observar si esa capacidad variaba de acuerdo a la posición de pie o sentado.
La mayoría de los estudios recomiendan tomar el fem en posición de pie, pero se desconoce si existen diferencias de acuerdo a la postura. “Es fundamental –describe el estudio–, saber si estas diferencias existen, lo que nos llevaría a evaluar correctamente las condiciones pulmonares de un individuo tanto enfermo como sano”, ya que se cree que podrían darse cifras diferentes si se mide de pie o sentado.
Los médicos del cees estaban interesados en saber si efectivamente los mejores resultados se obtenían midiendo el fem de pie, por eso encuestaron a 228 universitarios (111 mujeres y 117 varones, con un promedio de 21 años de edad) a quienes que se les tomó nombre, edad, sexo, talla y fem sentados y de pie con el flujómetro Tru-Zone.
Cada vez que respiramos entra determinada cantidad
de aire a nuestros pulmones y el flujo espiratorio es la capacidad de expulsar el aire que se encuentra en la cavidad pulmonar. La investigación se propuso observar si esa capacidad variaba de acuerdo con la posición del individuo:
de pie o sentado

Para ello se les pidió que no realizaran ejercicios ni consumieran bebidas calientes o estimulantes media hora antes de la prueba.
El flujo respiratorio máximo es una prueba que consiste en la expulsión fuerte y rápida por la boca de una columna de aire posterior a una inspiración profunda que se mide con un flujómetro en litros por minuto y se correlaciona con el volumen respiratorio forzado del primer segundo.
Antiguamente, cuando los médicos pedían a un paciente con enfermedades respiratorias silbar o soplar una vela, estaban valorando, ordinariamente, la velocidad del fem. A partir de la creación de programas para el asma como el Gina (Global Iniciative of Asthma), se ha tratado de introducir en la práctica médica el fem como herramienta clínica.
Los resultados de la investigación efectuada por el cess indicaron que el fem es mayor en posición de pie que en posición sentado y los valores son mayores para hombres en ambas posiciones. En el total de la muestra en la posición sentados, el valor mínimo fue de 160 litros por minuto (lpm), y el máximo de 800 lpm, con promedio de 450 lpm.
Para el fem de pie, el valor mínimo fue de 170 lpm con máximo de 800 y promedio de 470, con lo que se comprueba que es mejor medir el fem en posición de pie.